1歳児の脳から「手足の生えた胎児」が摘出される

中国で「1歳の子どもの脳から胎児が摘出される」という世にも珍しい事例が報告されました。
Teaching NeuroImage: Intraventricular Fetus-in-Fetu With Extensive De Novo Gain in Genetic Copy Number | Neurology
https://doi.org/10.1212/WNL.0000000000201578

Parasitic twin found in brain of 1-year-old Chinese girl | Miami Herald
https://www.miamiherald.com/news/nation-world/world/article272892980.html
In extremely rare case, doctors remove fetus from brain of 1-year-old | Live Science
https://www.livescience.com/in-extremely-rare-case-doctors-remove-fetus-from-brain-of-1-year-old
双子の胎児が母親の胎内で発達する過程では、一方の胎児がもう一方の胎児に吸収される現象が発生することがあります。過去には、双子の一方と接合して4本の腕&4本の脚を持つ女の子が生まれたこともありました。このような「双子の一方の体を吸収した状態で生まれた子ども」は「寄生性双生児」と呼ばれ、50万人に1人の確率で生まれてくるとされています。
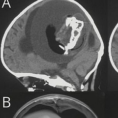
上記のように寄生性双生児は医学的には広く知られた事例ですが、「脳の中に胎児を吸収した事例」は非常に珍しいとのこと。今回報告された患者の脳のCTスキャン画像を見ると、脳の中に人間の骨格のようなものが写っていることが分かります。

脳内に胎児の存在が確認された1歳の患者は、頭が肥大し、同年代の子どもと比べて成長の遅れが見られたとのこと。医療チームは、患者の健康を守るために胎児の摘出を決断しました。
摘出された胎児の写真が以下(クリックでモザイク解除)。体長は約10cmで、手や足のような構造も確認できます。

上記の通り、患者の脳内から胎児を摘出する手術は成功したものの、術後の経過については明らかになっていません。
なお、今回のような「脳の中に胎児を吸収した事例」は非常に珍しいものですが、初めて確認された事例ではありません。例えば、1982年には生後6週間の子どもの脳から体長14cmの胎児が摘出された事例が報告されています。
Intraventricular fetus-in-fetu in: Journal of Neurosurgery Volume 56 Issue 6 (1982) Journals
https://doi.org/10.3171/jns.1982.56.6.0845
